• allée Robinson, BIARRITZ
  • RDV en ligne
  • Urgences
  • 05 59 03 95 56
Clinique Vétérinaire de Parme
  • Clinique
    • Charte
    • Équipe
      • Vétérinaires
        • DV DONIOL-VALCROZE Julien
        • DV SEGUELA Jérôme
        • DV HIDALGO Antoine
        • DV SARRAU Sébastien
        • DV MANENT-MANENT Marion
        • DV LAHUERTA-SMITH Tomas
        • DV GERVAIS Chloé
        • DV ARA-RIPALDA Yaiza
        • DV MALE Romain
        • DV CASENAVE Pauline
        • DV PASSEMARD Blanche
        • DV LABRIFFE Matthieu
        • DV GOURBAULT Olivia
      • Administration
      • Auxiliaires
      • Mascotte
    • 2 structures pour un meilleur service
      • Pôle Généraliste
      • Pôle Technique
    • Historique
  • Services
    • Médecine
      • Médecine Générale
      • Médecine Préventive
      • Médecine Interne
      • Orthopédie
      • Neurologie
      • Ophtalmologie
      • Cardiologie
      Chirurgie
      • Prise en charge
      • Chirurgie Générale
      • Dentisterie
      • Chirurgie des Cas Complexes
      Imagerie Médicale
      • Radiographie
      • Scanner
      • échographie
      • Video-Endoscopie
      •   Hospitalisation
      •   Urgences
      •   Don de sang
      Nutrition Santé
      • Ration personnalisée
      • Le Bon Profil
      • Infos Utiles étiquetage
      Les NACs
      • Pourquoi Consulter
      • Lapins et Rongeurs
      • Furets
      • Oiseaux
      • Reptiles
      Prévention Santé
      • Transporter son chat
      • 8 Conseils Prévention
      • 9 Points à Surveiller
      • Vermifugation
  • Recrutement
  • Actus
    • Blog
    • Journal de la Clinique
    • Archives Newsletters
  • Boutique
  • Contact
  Urgences   RDV RDV

L'Imagerie Médicale Permettant de visualiser indirectement l'anatomie, la physiologie ou le métabolisme

  • Services
  • Imagerie Médicale
Radiologie

La Radiographie

Rayon X - radiologie numérique

Échographie

L'Échographie

Examen de choix pour approfondir un diagnostic ou évaluer l’évolution d’une affection chronique

Vidéo-endoscopie

La Vidéo-endoscopie

Fibroscopie, méthode d'exploration visuelle médicale en vidéo

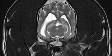
Scanner

Le Scanner

Concilier performance, coût raisonnable et risque modéré

  • Médecine
  • Chirurgie
  • Imagerie Médicale
    • Radiographie
    • Échographie
    • Video-Endoscopie
    • Scanner
  • Hospitalisation  
  • Urgences  
  • Don de Sang  
  • Nutrition - Santé
  • NAC
  • Conseils Prévention Santé

Horaires d'ouverture

Consultations sur RDV
Lun - Ven 8h30 - 19h sans interruption
Samedi 8h30 - 13h et 14h - 18h
Dimanche Fermé

Téléphone

05 59 03 95 56

Vétérinaires

  • DV DONIOL-VALCROZE Julien
DV DONIOL-VALCROZE Julien
DV DONIOL-VALCROZE Julien
En savoir plus
  • DV SEGUELA Jérôme
DV SEGUELA Jérôme
DV SEGUELA Jérôme
En savoir plus
  • DV HIDALGO Antoine
DV HIDALGO Antoine
DV HIDALGO Antoine
En savoir plus
  • DV SARRAU Sébastien
DV SARRAU Sébastien
DV SARRAU Sébastien
En savoir plus
  • DV MANENT-MANENT Marion
DV MANENT-MANENT Marion
DV MANENT-MANENT Marion
En savoir plus
  • DV LAHUERTA-SMITH Tomas
DV LAHUERTA-SMITH Tomas
DV LAHUERTA-SMITH Tomas
En savoir plus
  • DV GERVAIS Chloé
DV GERVAIS Chloé
DV GERVAIS Chloé
En savoir plus
  • DV ARA-RIPALDA Yaiza
DV ARA-RIPALDA Yaiza
DV ARA-RIPALDA Yaiza
En savoir plus
  • DV MALE Romain
DV MALE Romain
DV MALE Romain
En savoir plus
  • DV CASENAVE Pauline
DV CASENAVE Pauline
DV CASENAVE Pauline
En savoir plus
  • DV PASSEMARD Blanche
DV PASSEMARD Blanche
DV PASSEMARD Blanche
En savoir plus
  • DV LABRIFFE Matthieu
DV LABRIFFE Matthieu
DV LABRIFFE Matthieu
En savoir plus
  • DV GOURBAULT Olivia
DV GOURBAULT Olivia
DV GOURBAULT Olivia
En savoir plus

Informations utiles

  • Hospitalisation
  • Donneur de sang
  • Bien transporter son chat
  • Vermifugation
  • 8 Conseils Prévention Santé
  • 9 Points à Surveiller
  • Offres d'emploi

Newsletters

202109-Parme-JdCautomne-web.pdf
202106-Parme-JdCete-web.pdf
202103-Parme-JdCprintemps-web.pdf
202012-Parme-JdChiver-web.pdf
202009-Parme-JdCautomne-web.pdf
202006-Parme-JdCete-web.pdf
202003-Parme-JdCprintemps-web.pdf
201809-Parme-JdCautomne-web.pdf

Suivez-nous

© Copyright 2018-2026. Tous Droits Réservés. Réalisé par MEDIA VETO.

  • CGF
  • Mentions Légales
  • Plan du site
  • Contact